Minimaliseer de noodzaak voor subgingivale re-instrumentatie & paradontale chirurgie en het risico op gingivale recessie met het flapless CLEAN&SEAL protocol: de evidence-based oplossing voor parodontitis en peri-implantaire infecties.

in de praktijk
Traditionele Scaling en Root Planing (SRP) alleen laat vaak residuele pockets achter en vergroot gingivale recessie. Recente ruwe data op basis van de gepubliceerde Ramanauskaite et al. 2024 toont aan dat met SRP alleen:
Herhaalde instrumentatie en chirurgie vergroten het risico op gingivale recessie, wat het esthetische "roze kader" van de patiënt aantast.
innovatieve behandelwijze
CLEAN&SEAL is een innovatieve behandelmethode, aanvullend op elke mechanische reiniging, die specifiek is ontworpen om parodontitis en peri-implantitis effectief te onderbreken. Deze methode integreert de nieuwste technologieën en wetenschappelijke inzichten om betere resultaten te bereiken dan traditionele behandelmethoden.
Wanneer CLEAN&SEAL wordt geïntegreerd in de initiële subgingivale instrumentatiestap, transformeert de methode (Perisolv & hyaDENT BG) de voorspelbaarheid van de behandeling.
in de praktijk
Parodontale gezondheid gaat niet alleen over cijfers, het gaat om de glimlach.
de behandelmethode
CLEAN&SEAL benadert de behandeling van parodontitis en peri-implantitis met een tweestaps aanpak: slimme reiniging gevolgd door een innovatieve sealing-technologie. Deze aanpak is ontworpen om niet alleen de symptomen te behandelen, maar ook om de onderliggende oorzaken aan te pakken en herhaling te voorkomen.
1) Slimme reiniging: De eerste stap in de CLEAN&SEAL methode is een grondige reiniging van de pockets met Perisolv. Met Perisolv en je normale ultrasone of handinstrumenten verwijder je effectief alle plaque, bacteriën en tandsteen. Je zult waarderen hoe Perisolv de verwijdering van granulatieweefsel faciliteert en de bacteriële belasting van de biofilm vermindert. Deze diepe reiniging bereidt het gebied voor op de volgende stap van de behandeling en zorgt voor een schone basis die essentieel is voor genezing. Dankzij de unieke formulering is Perisolv agressief tegen biofilm en granulatieweefsel, terwijl het veilig blijft voor gezond weefsel. Hierdoor kan de gebruiker de reiniging zo vaak herhalen als nodig, zonder het risico het weefselherstel in gevaar te brengen.
2) Sealing technologie: Na de reiniging wordt een geavanceerde bio-compatibele sealer genaamd Hyadent BG aangebracht. Deze sealer vormt een beschermende barrière die helpt de pockets te isoleren van bacteriële herinfectie. De sealer is ontwikkeld om de natuurlijke genezing te ondersteunen en bevordert de regeneratie van zowel zacht als hard weefsel rondom de tanden en implantaten.
3) Regeneratieve behandeling: De CLEAN&SEAL methode omvat ook componenten die regeneratie bevorderen. Dit houdt in dat we materialen gebruiken die helpen bij het herstellen van het beschadigde weefsel en die bijdragen aan de heropbouw van het bot en de gingiva.


wat maakt clean&seal zo bijzonder
Veel bestaande behandelingen voor parodontitis en peri-implantitis leveren niet altijd de gewenste resultaten, vooral in gevallen van ernstige infecties. Traditionele methoden kunnen tekortschieten in het grondig reinigen van pockets bij natuurlijke elementen en implantaten en het beheersen van infecties op lange termijn. CLEAN&SEAL is ontworpen om deze specifieke uitdagingen effectief aan te pakken door een combinatie van diepgaande reiniging en geavanceerde sealing-technieken.
De CLEAN&SEAL methode biedt meerdere voordelen ten opzichte van traditionele behandelmethodes:
wetenschappelijk BEWEZEN
Een recente studie heeft bewezen dat CLEAN&SEAL traditionele SRP bij behandeling van algemene parodontitis in de stadia II-III overstijgt. 48 patiënten met stadia II-III (Grades A/B) parodontitis zijn voor het onderzoek willekeurig behandeld en klinisch vergeleken.
Het doel van de studie was een vergelijking van:
De resultaten in een notendop:
Klinische relevantie:
De toevoeging van natriumhypochloriet/aminozuur en xHyA-gels verbetert de uitkomsten van SRP aanzienlijk en biedt een krachtige aanpak in niet-chirurgische parodontale therapie. De patiëntdata van deze studie documenteerden voor het eerst ook dat CLEAN&SEAL bijdraagt aan het met 96% verminderen van het aantal actieve parodontale pockets na de initiële subgingivale instrumentatie. Dit leidde ertoe dat 42% van de patiënten direct doorstroomde naar supportive care, in plaats van verdere re-instrumentatie of chirurgie te moeten ondergaan.
Lees en bestudeer het volledige onderzoek "Clinical evaluation of sodium hypochlorite/amino acids and cross‑linked hyaluronic acid adjunctive to non‑surgical periodontal treatment: a randomized controlled clinical trial" via onderstaande button.

CLEAN&SEAL in actie


praktijkvoorbeelden
Casus van Dr. T. Liechti uit Zwitserland

Voor de behandeling:
Maximaal meetbare diepte van pockets

De ontsteking gaat gepaard met pus dat uit de pockets komt

2 weken na de behandeling:
Geen ontsteking meer zichtbaar

3 maanden na de behandeling:
Circulair strakkere gingiva en ontstekingsvrij

6 maanden na de behandeling:
PPD naar 5 mm, geen BoP/secretie
Voor de behandeling

6 maanden na de behandeling


Voor de behandeling:

Voor pockets >5mm:
1) Breng Perisolv aan
2) Wacht 60 seconden
3) SRP
Herhaal 2-3 keer

Aanbrengen van Hyadent BG hyaluronzuur in de parodontale pocket

6 maanden na de behandeling: pockets zijn beduidend minder diep geworden
Voor de behandeling

6 maanden na de behandeling

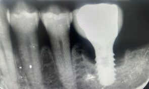
Casuïstiek
Hieronder laten we een perfecte casus zien van een verontreinigd implantaatoppervlak dat is glad gemaakt met behulp van NiTi brushes en Perisolv. Daarna is er opgebouwd met hyaluronzuur, smartgraft en een membraan. Tot slot heeft de behandelaar het geheel twee maanden laten genezen met een healing abutment. De resultaten op de foto's hieronder spreken voor zich.



producten
In onze webshop vind je alle producten die je nodig hebt voor een succesvolle toepassing van de CLEAN&SEAL methode, zoals Perisolv biofilm eraser en Hyadent BG.

Gratis uitproberen
Gratis retourneren
Gratis verzending vanaf €200
De volgende dag geleverd

EDUCATIE
Wij bieden uitgebreide trainingen en workshops aan om je volledig vertrouwd te maken met de CLEAN&SEAL methode. Altijd gehost door ervaren professionals uit het vakgebied. Bezoek onze educatiepagina voor meer informatie over cursussen en workshops en om je in te schrijven.
Bij Implanetic geloven we in kwaliteit, service en innovatie. Onze producten zijn eerlijk geprijsd en ondersteund door solide wetenschappelijke onderzoek. Wij zijn toegewijd aan uitmuntende klantenservice en snelle, betrouwbare leveringen.
