Abstract
Microorganisms play an important role in the development and progression of periodontal and peri-implant diseases. For these reasons there is an increasing interest in adjunctive therapies that could improve the outcomes on nonsurgical mechanical therapy.
The positive effects of NaOCl in periodontal therapy were tested for the first time in the treatment of gingivitis and later the use of NaOCl irrigations combined to nonsurgical periodontal therapy was used in the treatment of periodontitis.
Recently the application of NaOCl gel (Perisolv) and hyaluronic acid was purposed in the treatment of peri-implant mucositis with promising results.
Dr. Vincenzo Iorio-Siciliano, DDS,MS,PhD Department of Periodontology, University of Naples Federico II,Italy, will present in this webinar:
- A nonsurgical clinical protocol based on the application of NaOCl for treatment of periodontitis and peri-implant mucositis.
- A recent scientific evidence on the use of NaOCl in nonsurgical periodontal treatment. The biologic rationale of using hyaluronic acid in reconstructive periodontal surgery.


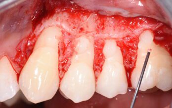
Application of Perisolv
“Cases of dr. V. Iorio-Siciliano”
Receive 25% discount on your first order!
Would you like to receive 25% discount on your first order or do you want more information about Hyadent BG? Leave your name, and e-mail adress and we will contact you.
You will receive a confirmation email with a discount code on our webshop.
Meer casuïstiek & webinars



